CÚM MÙA DIỄN BIẾN NGUY KỊCH TRÊN BỆNH NHÂN SUY GIẢM MIỄN DỊCH
benhvien
16/12/25
9
Khoa Cấp cứu – Bệnh viện Bệnh Nhiệt đới Trung ương vừa tiếp nhận một trường hợp cúm mùa diễn biến đặc biệt nhanh và nặng ở bệnh nhân nữ T.T.H 35 tuổi (Phú Thọ) có nền bệnh phức tạp. Người bệnh có suy thận mạn do lupus, đã ghép thận được 13 tháng và phải dùng thuốc chống thải ghép cùng thuốc điều trị lupus suốt hơn 15 năm. Đây là nhóm bệnh nhân có hệ miễn dịch suy giảm sâu, rất dễ bị tấn công bởi các bệnh đường hô hấp, trong đó cúm mùa là một trong những nguy cơ lớn nhất.
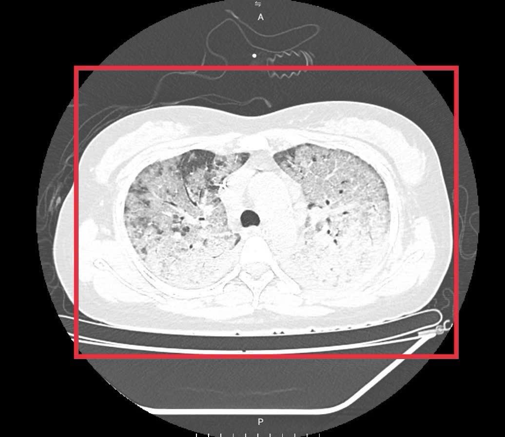
Khoảng ba ngày trước nhập viện, bệnh nhân xuất hiện sốt, ho và khó thở tăng dần. Dù đã được phát hiện sớm, điều trị bước đầu tại cơ sở y tế tuyến trước và test nhanh cúm dương tính, tình trạng suy hô hấp vẫn tiến triển nhanh. Khi chuyển tới Bệnh viện Bệnh Nhiệt đới Trung ương, bệnh nhân ở trong tình trạng thở nhanh 30 lần/phút, co kéo cơ hô hấp nhiều, SpO₂ tụt xuống chỉ còn 85% và cần được hỗ trợ thở máy lưu lượng dòng cao ngay lập tức. Tuy nhiên, diễn biến cúm xấu lên nhanh đến mức có thời điểm dù cài 100% oxy, SpO₂ vẫn chỉ đạt 80–85%. Hình ảnh phim phổi cho thấy tổn thương lan tỏa kín hai bên phổi, hình ảnh kính mờ điển hình của cúm tiến triển, nhanh chóng chuyển sang hội chứng suy hô hấp cấp (ARDS) – biến chứng nặng thường gặp ở nhóm bệnh nhân suy giảm miễn dịch.

Trước mức độ tổn thương phổi lan tỏa và suy hô hấp tiến triển nhanh, các bác sĩ nhận định bệnh nhân H có tiên lượng rất xấu, nguy cơ khó qua khỏi dù đã được điều trị tích cực.



Bài và ảnh : Phòng Công tác xã hội
Bài viết mới
Đặt lịch khám